
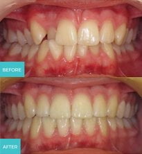
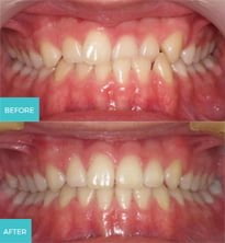
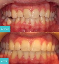
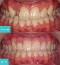
Average treatment time is 4 – 24 weeks depending on complexity. Quick Straight Teeth uses only clear braces (brackets) and tooth coloured wires, making the clear braces virtually invisible in the mouth.




Not everyone is born with a perfect smile. However, almost everyone can enjoy the benefits of Quick Straight Teeth – one of the the fastest and least invasive ways to straighten your teeth, and give you that movie star smile, without the movie star price tag.